症例29 10歳 柴犬
エコー検査で腹腔内に直径5cm大の腫瘤を認めたため、CT検査を実施。
腫瘤は卵巣で周囲の臓器への癒着は認められなかったため、そのまま子宮および卵巣の摘出を行なった。
腹腔内の腫瘤には様々な可能性があるため、摘出可能かどうか判断するためにCT検査が有用である。
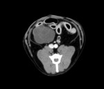
症例29 10歳 柴犬
エコー検査で腹腔内に直径5cm大の腫瘤を認めたため、CT検査を実施。
腫瘤は卵巣で周囲の臓器への癒着は認められなかったため、そのまま子宮および卵巣の摘出を行なった。
腹腔内の腫瘤には様々な可能性があるため、摘出可能かどうか判断するためにCT検査が有用である。