症例34
9歳 トイプードル。
他院でのエコー検査にて、腹腔内に腫瘤が見つかったということで、CT検査を希望し来院。
当院のエコー検査でも腹腔内に大きな腫瘤を認めたが、その腫瘤がどの臓器から発生しているのか確定できなかったため、CT検査を実施した。
CT検査では、腫瘤は脾臓と接しているものの脾臓からの発生ではなく、その他の腹腔内臓器で唯一、左側の副腎が確認できないため副腎腫瘤と診断した。
腫瘤は大きく、かつ後大静脈との癒着も疑われるため、手術による摘出は極めて困難であると判断した。
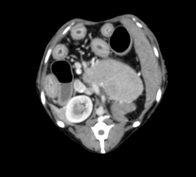
症例34
9歳 トイプードル。
他院でのエコー検査にて、腹腔内に腫瘤が見つかったということで、CT検査を希望し来院。
当院のエコー検査でも腹腔内に大きな腫瘤を認めたが、その腫瘤がどの臓器から発生しているのか確定できなかったため、CT検査を実施した。
CT検査では、腫瘤は脾臓と接しているものの脾臓からの発生ではなく、その他の腹腔内臓器で唯一、左側の副腎が確認できないため副腎腫瘤と診断した。
腫瘤は大きく、かつ後大静脈との癒着も疑われるため、手術による摘出は極めて困難であると判断した。