症例36
7歳 ミニチュアダックスフンド
狂犬病ワクチン接種での来院時、肛門の右側に腫瘤が見つかる。
先ず麻酔下でツルーカット針にて生検を行い、病理組織検査で肛門嚢アポクリン腺癌と診断された。
次いで手術の是非と可否を検討するためCT検査を実施した結果、附属リンパ節や肝臓、肺などへの転移は認められなかったため、一部の直腸と一部の肛門括約筋を含めて腫瘍を摘出した。
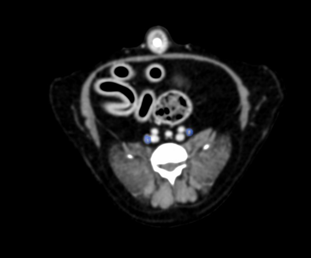
症例36
7歳 ミニチュアダックスフンド
狂犬病ワクチン接種での来院時、肛門の右側に腫瘤が見つかる。
先ず麻酔下でツルーカット針にて生検を行い、病理組織検査で肛門嚢アポクリン腺癌と診断された。
次いで手術の是非と可否を検討するためCT検査を実施した結果、附属リンパ節や肝臓、肺などへの転移は認められなかったため、一部の直腸と一部の肛門括約筋を含めて腫瘍を摘出した。