症例38
雑種ネコ15歳 呼吸困難と食欲減退を主訴に来院。
レントゲン検査にて肺または食道の異常が疑われたため、無麻酔でCT検査を実施。(本症例はおとなしい性格のため実施可能であった)
検査の結果、食道腫瘤と確認された。
飼い主様は病理検査を含めた精査は高齢のため希望されず、流動食の給餌で経過観察となった。
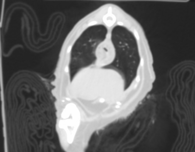
症例38
雑種ネコ15歳 呼吸困難と食欲減退を主訴に来院。
レントゲン検査にて肺または食道の異常が疑われたため、無麻酔でCT検査を実施。(本症例はおとなしい性格のため実施可能であった)
検査の結果、食道腫瘤と確認された。
飼い主様は病理検査を含めた精査は高齢のため希望されず、流動食の給餌で経過観察となった。