症例39
トイプードル 5歳 膀胱結石と持続する肝酵素上昇
血尿を主訴に来院し、エコー検査で膀胱結石を認める。膀胱摘出の術前検査で肝酵素上昇を認める。
強肝剤や肝細胞保護剤を投与するが、肝酵素上昇が持続。肝機能の検査を実施したところ、総胆汁酸の上昇を認める。
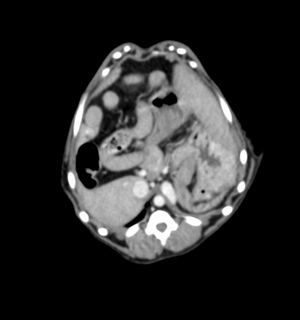
門脈体循環シャントを疑い、CT検査を実施。
CT検査の結果、門脈体循環シャント(脾静脈-横隔静脈シャント)と診断。
門脈体循環シャントは先天性(生まれつき血管の異常=奇形)と後天性(肝硬変などの重度肝疾患の末期に生じる二次的=続発的に起こるタイプ)がある。本来腸管で栄養分を吸収した静脈は門脈として肝臓に入り、解毒された後に後大静脈→心臓へと流れるが、シャントを有する場合、門脈→肝臓に入る前に後大静脈→心臓(右心房)へと流れる短絡血管が存在する病気。
セロハンバンディング法によるシャント血管閉塞術を実施。
門脈体循環シャントの診断にはCT検査が非常に有用である。





